Inicio / Dentistas y Odontología / BioDent Odontologia Integral La Plata
BioDent Odontologia Integral La Plata

BioDent Odontologia Integral La Plata

Atrás
C. 197 720, B1901 Lisandro Olmos, Provincia de Buenos Aires, Argentina
Dentista
10 (3 reseñas)

BioDent Odontologia Integral La Plata representa una opción para quienes buscan atención en dentistas en la zona de Lisandro Olmos. Este centro se enfoca en ofrecer servicios odontológicos completos, atendiendo a pacientes que requieren cuidados básicos y especializados. Las opiniones disponibles destacan aspectos positivos en el trato personal, lo que genera confianza inicial al ingresar al consultorio.

Atención al paciente

El personal muestra un enfoque cordial desde el primer contacto, facilitando la comunicación sobre procedimientos dentales. Pacientes mencionan explicaciones claras sobre tratamientos, lo que ayuda a entender opciones como limpiezas, restauraciones o controles periódicos sin complicaciones técnicas excesivas. Esta simplicidad beneficia especialmente a quienes prefieren consultas directas sin tecnicismos innecesarios.

La flexibilidad en la programación de citas permite adaptarse a agendas ocupadas, con varias vías para coordinar turnos. Esto resulta práctico para familias o trabajadores que necesitan dentistas accesibles cerca de La Plata. Sin embargo, con solo unas pocas evaluaciones públicas, es difícil medir la consistencia a largo plazo en este aspecto.

Servicios odontológicos ofrecidos

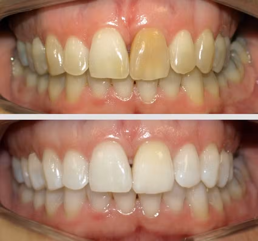
Como clínica de odontología integral, cubre desde revisiones generales hasta intervenciones más complejas, alineándose con estándares de centros similares en Buenos Aires. Fotos del lugar sugieren instalaciones limpias y equipadas para tareas rutinarias como remociones de sarro o empastes estéticos. La orientación integral implica un manejo unificado de casos, potencialmente reduciendo derivaciones externas.

En contextos locales, prácticas como esta suelen incluir endodoncias, prótesis y blanqueamientos, adaptados a necesidades comunes en la provincia. Pacientes valoran la sencillez en descripciones de estos procesos, fomentando decisiones informadas. Aun así, la limitada visibilidad online impide confirmar rangos amplios de especialidades avanzadas como implantes o ortodoncia.

Aspectos positivos destacados

  • Trato amable que genera comodidad durante visitas al dentista.
  • Explicaciones accesibles sobre planes de tratamiento.
  • Opciones múltiples para reservar citas, mejorando accesibilidad.

Estas fortalezas coinciden con expectativas de usuarios que priorizan empatía en salud bucal. En áreas como Lisandro Olmos, donde opciones de dentistas son moderadas, este enfoque diferencial atrae a quienes evitan experiencias impersonales. La calificación alta en plataformas refleja satisfacción en interacciones puntuales.

Limitaciones observadas

La cantidad reducida de comentarios públicos plantea dudas sobre volumen de pacientes atendidos regularmente. Esto podría indicar un perfil más local o reciente, sin amplia exposición en redes o sitios de reseñas. Para procedimientos complejos, como cirugías orales, faltan detalles específicos de resultados a mediano plazo.

Otras clínicas en la región acumulan más feedback, permitiendo comparaciones más robustas en temas como tiempos de espera o seguimiento post-tratamiento. Algunos usuarios en zonas cercanas reportan variabilidad en disponibilidad para urgencias, un punto a verificar directamente. La ausencia de actualizaciones recientes en línea sugiere oportunidades para mayor presencia digital.

Experiencias de usuarios

Uno de los comentarios resalta la cordialidad y facilidad para comprender intervenciones dentales, destacando adaptabilidad horaria. Otro usuario sin texto detallado aún otorga nota máxima, insinuando aprobación general. Estas percepciones positivas se centran en servicio humano más que en resultados clínicos extensos.

En comparación con prácticas odontológicas similares en Buenos Aires, el énfasis en contacto accesible se alinea con demandas de pacientes ocupados. No obstante, para casos pediátricos o estéticos avanzados, como carillas, se recomiendan consultas previas para alinear expectativas. La integralidad prometida beneficia planes multifase.

Instalaciones y entorno

Imágenes disponibles muestran un espacio ordenado, con equipo visible para odontología general, contribuyendo a sensación de profesionalismo. En un barrio residencial como el de Calle 197, la ubicación facilita acceso vehicular sin congestiones urbanas intensas. Esto favorece citas rápidas para chequeos preventivos.

Mantenimiento aparente de higiene se infiere de fotos, clave en prevención de infecciones bucales. Para dentistas en entornos suburbanos, este setup soporta atenciones eficientes sin multitudes. Falta de reseñas sobre comodidad específica, como salas de espera, deja espacio para mejoras en descripciones detalladas.

Recomendaciones para potenciales clientes

Si buscas dentistas con trato cercano en Lisandro Olmos, BioDent ofrece base sólida en atención básica. Verifica personalmente disponibilidad para tu necesidad particular, como periodoncia o restauraciones. La flexibilidad citada es un plus para rutinas diarias.

Considera combinar con chequeos iniciales para evaluar compatibilidad. En odontología integral, continuidad en el mismo equipo optimiza resultados a largo plazo. Para procedimientos estéticos, compara con opciones en La Plata central si requieres portafolios extensos.

Enfoque preventivo

Centros como este promueven visitas regulares para evitar complicaciones mayores, alineado con recomendaciones de salud bucal argentina. Explicaciones claras facilitan adherencia a rutinas de higiene post-tratamiento.

Adaptación a familias

La sencillez en comunicaciones beneficia adultos y posiblemente niños, aunque sin menciones explícitas a odontopediatría. Horarios flexibles apoyan familias locales.

BioDent Odontologia Integral La Plata mantiene presencia modesta pero positiva en su nicho. Potenciales clientes hallan valor en su accesibilidad, ponderando volumen limitado de experiencias compartidas. Optimización digital podría elevar su alcance entre buscadores de dentistas confiables.

Otros negocios que podrían interesarte

Ver Todos