Inicio / Dentistas y Odontología / Implantes dentales en Parana Entre Rios Dr. Francisco Cuminetti
Implantes dentales en Parana Entre Rios Dr. Francisco Cuminetti

Implantes dentales en Parana Entre Rios Dr. Francisco Cuminetti

Atrás
San Juan 683, E3100 Paraná, Entre Ríos, Argentina
Clínica dental Dentista Periodoncista de implantes dentales
10 (9 reseñas)

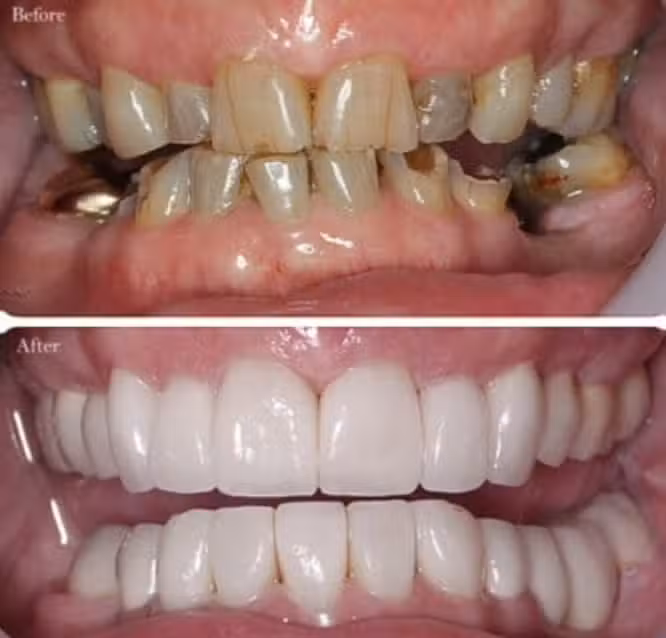
Implantes dentales en Parana Entre Ríos Dr. Francisco Cuminetti se presenta como un consultorio orientado casi por completo a la rehabilitación oral mediante implantes dentales y tratamientos asociados, atendido directamente por un profesional valorado por la mayoría de sus pacientes. La práctica está enfocada en devolver función y estética a quienes han perdido piezas dentarias, combinando procedimientos quirúrgicos y protésicos con un trato cercano.

El nombre del consultorio deja claro el foco principal: la colocación de implantes dentales como solución para reemplazar dientes perdidos. Esto resulta especialmente relevante para quienes buscan alternativas estables frente a las prótesis removibles tradicionales. Además, el servicio se integra dentro del ámbito de la salud bucal, por lo que muchos pacientes lo consideran una referencia cuando buscan un dentista especializado en este tipo de procedimientos específicos.

Enfoque en implantes y rehabilitación oral

Uno de los puntos fuertes del consultorio es su especialización en implantes dentales, un tratamiento que hoy es muy buscado por pacientes que desean una solución fija y duradera. En lugar de ofrecer un abanico demasiado amplio de servicios generales, el profesional orienta su práctica a la rehabilitación de piezas ausentes, lo que puede traducirse en experiencia acumulada en este campo concreto. Para quienes priorizan la estabilidad de sus restauraciones y la sensación de masticar de manera similar a los dientes naturales, este tipo de enfoque representa un valor diferencial frente a otros centros de odontología más generalistas.

Los testimonios de pacientes destacan al profesional como un odontólogo seguro y prolijo, lo cual transmite confianza a quienes sienten cierto temor a la cirugía. Varios usuarios mencionan que lo consideran su odontólogo de referencia, lo que sugiere que, además de los implantes, se ocupan de controles y tratamientos complementarios dentro del consultorio. Esta continuidad en la atención ayuda a mantener una salud bucodental estable una vez finalizada la etapa quirúrgica y protésica.

Atención personalizada y trato del profesional

La figura del Dr. Francisco Cuminetti aparece constantemente asociada a comentarios positivos sobre su desempeño profesional. Pacientes que lo conocen desde hace tiempo lo describen como un dentista atento, cuidadoso y muy respetuoso del tiempo y la comodidad del paciente. Esa percepción de cercanía es especialmente valorada por quienes se someten a cirugía oral o tratamientos complejos, donde el acompañamiento durante el proceso de diagnóstico, ejecución y controles posteriores resulta crucial.

Además del aspecto técnico, el trato humano es un componente fundamental para quienes buscan un dentista de confianza. Muchos pacientes comentan la tranquilidad que sienten durante las consultas, lo que ayuda a sobrellevar el temor frecuente a los procedimientos con anestesia, a los ruidos del equipamiento o simplemente al estrés que generan las visitas odontológicas. Esta combinación de habilidad profesional y empatía suele ser uno de los motivos principales por los que las personas recomiendan el consultorio a familiares y amigos.

Instalaciones y entorno del consultorio

Las fotografías disponibles permiten apreciar un consultorio con equipamiento actualizado y un ambiente ordenado, lo que transmite una sensación de higiene y profesionalismo. En un área como la odontología, donde la esterilización y el cuidado de los detalles son esenciales, el aspecto de la sala de atención y del instrumental influye directamente en la percepción de calidad del paciente. El entorno parece pensado para que el paciente pueda esperar y ser atendido en un espacio limpio y bien mantenido.

Sin embargo, más allá de las imágenes, la información disponible no detalla de forma exhaustiva qué tecnología específica se utiliza para los tratamientos, como escáneres, guías quirúrgicas digitales u otros recursos avanzados. Para algunos pacientes más exigentes con la tecnología empleada en implantes dentales, esta falta de detalles puede generar dudas y hacer necesario un contacto directo para conocer mejor los recursos con los que cuenta el consultorio. Aun así, las opiniones positivas sobre los resultados contribuyen a compensar parcialmente esa ausencia de información técnica pública.

Experiencia de los pacientes y opiniones

Las reseñas de los usuarios son uno de los puntos más favorables del consultorio, con valoraciones muy altas que destacan al profesional como un excelente odontólogo. Comentarios de pacientes que lo eligen desde hace años refuerzan la idea de continuidad y satisfacción con los tratamientos recibidos. La fidelidad de quienes siguen acudiendo al mismo profesional suele indicar que los resultados clínicos y la atención posoperatoria en implantes dentales y otras prácticas son adecuados.

No obstante, la cantidad total de opiniones aún es relativamente baja si se la compara con otras clínicas de dentistas que reciben un flujo masivo de pacientes. Esto implica que la muestra de experiencias publicadas en internet es limitada y puede no reflejar todos los posibles escenarios, como retrasos, tratamientos más complejos o casos donde los resultados tardan más en consolidarse. Para un potencial paciente, puede ser útil complementar estas reseñas con una visita inicial, hacer preguntas sobre el plan de tratamiento y aclarar expectativas antes de iniciar procedimientos de mayor costo o complejidad.

Fortalezas del consultorio

  • Especialización en implantes dentales: el foco declarado en este tipo de tratamiento indica experiencia en rehabilitación de piezas ausentes, lo que resulta atractivo para quienes buscan soluciones fijas a largo plazo.
  • Trato cercano del profesional: los comentarios resaltan que el Dr. Cuminetti inspira confianza, escucha al paciente y genera un clima de calma durante los procedimientos, algo muy valorado en odontología.
  • Ambiente cuidado y prolijo: la imagen del consultorio sugiere un entorno higiénico y organizado, importante en todo tratamiento con cirugía dental o uso de instrumental invasivo.
  • Valoraciones muy positivas: aunque no sean numerosas, las reseñas coinciden en describirlo como un excelente dentista, con resultados satisfactorios y seguimiento adecuado.

Aspectos a mejorar o tener en cuenta

Al mismo tiempo, hay elementos que un potencial paciente debería considerar antes de tomar una decisión. Uno de ellos es la limitada cantidad de opiniones disponibles en línea: aunque son favorables, no permiten ver un espectro muy amplio de experiencias en distintos tipos de tratamiento. En términos de transparencia, también se echa en falta más información detallada sobre los servicios exactos que se ofrecen, más allá de los implantes dentales, como si se realizan tratamientos de ortodoncia, coronas, carillas de porcelana o procedimientos de odontología estética.

Por otra parte, quienes buscan comparar diferentes opciones de clínicas dentales quizás encuentren poca información pública sobre métodos de trabajo, tecnologías disponibles, políticas de garantías sobre implantes o protocolos de mantenimiento a largo plazo. Para tratarse de un servicio de salud que implica una inversión considerable, muchos pacientes valoran contar con explicaciones claras sobre el tipo de implante utilizado, materiales, tiempos de integración ósea y plan de controles después de la cirugía. En este caso, esa información probablemente se obtenga solo de manera directa, durante la consulta.

Tipo de paciente al que puede resultar adecuado

Este consultorio puede resultar especialmente atractivo para personas que buscan un implantólogo con trato personalizado, que prefieren un espacio más íntimo y menos masificado que una gran clínica. Quienes valoran la continuidad con un mismo dentista y el seguimiento cercano de su caso encontrarán en la figura del Dr. Cuminetti un referente directo, sin tener que pasar por múltiples profesionales distintos para cada etapa del tratamiento.

Pacientes con ausencias dentarias que desean recuperar la capacidad de masticar correctamente y mejorar su estética pueden encontrar en los implantes dentales la solución más estable, y en este consultorio una opción a considerar. Sin embargo, aquellos que buscan una oferta muy amplia de servicios en un solo lugar, con múltiples especialistas y una gran estructura, quizá se sientan más cómodos comparando también otras alternativas de odontología integral. La elección dependerá de cuánto valor otorgue cada persona al trato cercano frente a la diversidad de servicios en un único centro.

Orientación para potenciales pacientes

Antes de iniciar cualquier tratamiento, especialmente si se trata de implantes dentales, siempre es recomendable solicitar una primera consulta de evaluación. En esta visita el paciente puede plantear sus dudas, conocer el estado real de su salud bucal y recibir un plan de tratamiento detallado. En el caso del consultorio del Dr. Francisco Cuminetti, esa entrevista inicial puede servir para confirmar si el enfoque del profesional encaja con las expectativas del paciente en cuanto a plazos, nivel de intervención quirúrgica y cuidados posteriores.

También es útil preguntar con claridad por las alternativas disponibles en caso de que los implantes dentales no sean viables, como prótesis removibles, puentes u otras soluciones. De esta forma, la persona interesada tendrá una visión más completa de las opciones de tratamiento dental que se adaptan a su situación clínica, su presupuesto y su disponibilidad de tiempo para controles. En un consultorio de estas características, donde el profesional está fuertemente involucrado en todas las etapas, el diálogo directo suele ser la mejor herramienta para tomar una decisión informada.

En definitiva, Implantes dentales en Parana Entre Ríos Dr. Francisco Cuminetti se posiciona como un consultorio de odontología especializado en implantes dentales, con un fuerte componente de atención personalizada y un volumen de opiniones en línea pequeño pero muy favorable. Para quienes priorizan la relación directa con su odontólogo y buscan recuperar piezas dentarias con una solución fija, puede ser una opción a tener en cuenta, siempre complementando la información disponible con una consulta presencial en la que se detallen plan, costos, tiempos y cuidados posteriores.

Otros negocios que podrían interesarte

Ver Todos