Inicio / Dentistas y Odontología / Odontologia CABRERAVERA grupo odontologico
Odontologia CABRERAVERA grupo odontologico

Odontologia CABRERAVERA grupo odontologico

Atrás
Tomás Alva Edison 2858, B1842 El Jagüel, Provincia de Buenos Aires, Argentina
Dentista
10 (30 reseñas)

Odontologia CABRERAVERA grupo odontológico se presenta como una opción orientada a quienes buscan un dentista de confianza para tratamientos integrales, con una fuerte impronta personalizada y un trato cercano al paciente. El consultorio está liderado por el Dr. Bruno Cabrera, profesional mencionado de forma recurrente por sus pacientes por su paciencia, calidez y vocación de servicio, algo que se valora especialmente en personas con miedo al sillón dental.

Uno de los aspectos que más destacan los pacientes es la forma en que el profesional explica cada procedimiento, resolviendo dudas y acompañando paso a paso, lo que ayuda a reducir la ansiedad típica de una visita al odontólogo. Comentarios recientes resaltan que el miedo a sacarse una muela o a realizar tratamientos más complejos disminuye notablemente gracias a la manera en que el doctor trabaja, con un enfoque tranquilo y respetuoso hacia los tiempos del paciente. Este clima de confianza es un punto fuerte para quienes buscan atención en odontología sin sentirse juzgados o apurados.

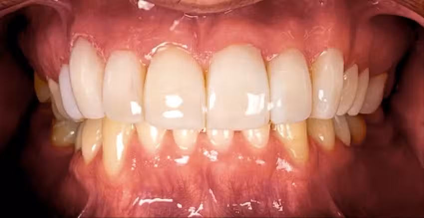
El grupo odontológico CabreraVera hace hincapié en la atención integral, con servicios que, según la información disponible, abarcan desde procedimientos de odontología general hasta áreas más avanzadas como rehabilitación oral y posiblemente implantología. En redes sociales se hace referencia a trabajos con implantes, cambios estéticos y rehabilitaciones que apuntan tanto a la funcionalidad como a la armonía de la sonrisa, lo que sugiere experiencia en tratamientos que combinan la salud bucal con la estética dental. Para el usuario que busca un implante dental o una rehabilitación completa, este enfoque integral puede resultar especialmente atractivo.

La reputación online del consultorio es claramente positiva. Las opiniones de los pacientes mencionan una atención excelente, resultados satisfactorios y una experiencia globalmente muy buena en manos del doctor en odontología. Se hace referencia a trabajos bien realizados, procedimientos que no resultaron tan dolorosos como se temía y una sensación de haber sido bien acompañados durante todo el proceso. Estos comentarios refuerzan la idea de que el consultorio no solo se centra en el aspecto técnico, sino también en el cuidado humano, un factor clave cuando se elige un dentista de confianza.

En cuanto al trato cotidiano, diversos pacientes mencionan que el ambiente en el consultorio es amable y respetuoso, con un equipo que recibe bien, responde preguntas y se muestra predispuesto. La sensación de sentirse "cómodo" o "cómoda" en la consulta es un tema recurrente, y esto marca una diferencia frente a otros espacios de salud dental donde la comunicación puede ser más fría. Esta cercanía se valora tanto en adultos como en jóvenes, y es un punto relevante para familias que buscan un lugar donde atenderse de manera continuada.

Otro aspecto señalado es la accesibilidad económica. Varios comentarios resaltan que los precios son considerados accesibles en relación con la calidad del trabajo, lo que sitúa a este grupo como una alternativa viable para quienes quieren cuidar su salud bucal sin enfrentar presupuestos desproporcionados. En un contexto donde muchos pacientes postergan la visita al odontólogo por cuestiones de costo, contar con una opción que combina buena atención y honorarios razonables resulta un punto a favor para el consultorio.

La ubicación en una zona residencial le otorga un carácter de consultorio de barrio, al que se puede acudir sin grandes desplazamientos y con la posibilidad de generar una relación de largo plazo con el profesional. Para muchas personas, tener un dentista cerca del hogar facilita la continuidad de los tratamientos, los controles periódicos y las visitas de urgencia. Esta proximidad física, sumada al vínculo de confianza que los pacientes describen, refuerza la imagen de un espacio pensado para acompañar a la comunidad en su cuidado dental cotidiano.

En el plano técnico, la imagen que se proyecta es la de un profesional en constante formación, con experiencia en áreas como la prostodoncia y la rehabilitación oral. Estas especialidades son importantes para quienes requieren restauraciones complejas, coronas, puentes o prótesis que devuelvan funcionalidad y estética. Para usuarios que buscan un especialista en prótesis dental o tratamientos avanzados, este perfil profesional puede resultar un diferencial frente a otros consultorios que se limitan a prácticas básicas.

Las fotografías disponibles del lugar muestran un consultorio que aparenta ser prolijo y equipado para la práctica de la odontología moderna, con sillones odontológicos, iluminación adecuada y un entorno cuidado. Si bien las imágenes no sustituyen la experiencia presencial, sí ayudan a transmitir una idea de orden y profesionalismo, algo que muchos pacientes asocian con mayor seguridad al momento de someterse a un tratamiento. Para quienes valoran un entorno limpio y organizado, este aspecto suma puntos a la hora de escoger un centro odontológico.

Un punto a tener en cuenta es que, a pesar del buen volumen de opiniones favorables, la cantidad total de reseñas sigue siendo relativamente limitada si se la compara con grandes clínicas dentales. Esto significa que la percepción disponible online se basa en un grupo acotado de experiencias, muy positivas pero todavía no masivas. Para usuarios que priorizan estadísticas amplias, esto puede verse como una pequeña desventaja; sin embargo, la coherencia del mensaje entre las reseñas existentes le otorga solidez a la reputación de este consultorio odontológico.

También puede ser percibido como un aspecto mejorable la relativa falta de información detallada en directorios y fichas públicas sobre la gama completa de servicios que ofrecen. Aunque se sabe que realizan trabajos de rehabilitación, extracciones y tratamientos generales, no siempre está claramente listado el abanico completo de prestaciones (por ejemplo, si cuentan o no con ortodoncia, odontopediatría o endodoncia en la misma sede). Para el potencial paciente que compara opciones por internet, disponer de esta información de forma más clara podría facilitar la decisión y evitar dudas previas al contacto.

Algo similar ocurre con la presencia digital más allá de las reseñas: el grupo tiene actividad en redes sociales, donde se muestran casos clínicos, resultados de implantes y celebraciones de logros de pacientes, pero la información práctica para el usuario no siempre está tan estructurada como en una página web tradicional. Quien busque un dentista en El Jagüel puede encontrar testimonios y fotos, pero quizás deba invertir algo más de tiempo en contactar para conocer detalles de cobertura, modalidades de pago o tiempos de tratamiento. Esto no afecta la calidad clínica, pero sí puede ser un punto de mejora en términos de comunicación y organización de la información.

Desde la perspectiva del usuario final, el balance general de Odontologia CABRERAVERA grupo odontológico es claramente favorable. Las personas que ya se atendieron remarcan la calidad humana del profesional, la precisión en los tratamientos y la sensación de estar en manos de un odontólogo que trabaja con cuidado y dedicación. La combinación de buena técnica, acompañamiento emocional y precios razonables se percibe como una propuesta sólida para quienes necesitan desde una simple limpieza hasta procedimientos más complejos.

No obstante, como todo consultorio de tamaño medio, tiene desafíos propios: continuar ampliando la información disponible para nuevos pacientes, fortalecer aún más su comunicación digital y dejar en claro qué especialidades se atienden dentro del mismo grupo. Para alguien que busca un tratamiento de conducto, alineación dental o atención infantil, contar con esta especificación previa puede marcar la diferencia a la hora de elegir. Reforzar estos aspectos de comunicación permitiría que más personas conozcan el alcance real de sus servicios.

En síntesis, quienes estén evaluando opciones para atender su salud bucal encontrarán en Odontologia CABRERAVERA grupo odontológico un espacio cercano, con un dentista valorado por su paciencia, su forma de explicar cada paso y su capacidad para generar confianza incluso en quienes llegan con experiencias previas poco agradables. La suma de buen trato, resultados satisfactorios y costos considerados accesibles convierte a este consultorio en una alternativa a tener en cuenta a la hora de elegir un profesional para cuidar la sonrisa a largo plazo.

Otros negocios que podrían interesarte

Ver Todos