Park Dental

Park Dental

Atrás
Yerbal 2441, C1406 Cdad. Autónoma de Buenos Aires, Argentina
Dentista Ortodoncista Periodoncista de implantes dentales
10 (68 reseñas)

Park Dental es un consultorio odontológico que se ha ganado un lugar destacado entre quienes buscan un tratamiento responsable y personalizado para su salud bucal. A partir de la experiencia de muchos pacientes, se percibe un enfoque centrado en preservar las piezas dentarias siempre que sea posible, evitando intervenciones innecesarias y explicando cada paso del tratamiento de forma clara y comprensible para personas de todas las edades.

Uno de los aspectos que más se repite en las opiniones es la calidad humana y el trato cercano del profesional a cargo. Pacientes que llegaron por una urgencia o por problemas derivados de otros tratamientos comentan que encontraron contención, paciencia y una preocupación real por aliviar el dolor y solucionar el problema de fondo. En un ámbito en el que muchos tienen temor o mala experiencia previa con los dentistas, este punto aparece como una de las mayores fortalezas de Park Dental.

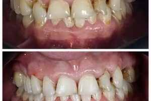
Las reseñas resaltan que los trabajos de restauración, limpieza y tratamiento de caries se mantienen en buen estado durante años, lo que habla de materiales adecuados y de una técnica prolija. Varios pacientes señalan que, luego de atenderse allí, notaron la diferencia respecto de otros consultorios donde los arreglos duraban poco tiempo o se indicaban procedimientos que no eran estrictamente necesarios. En Park Dental se valora que el profesional se tome el tiempo para evaluar la pieza, intentar conservarla y explicar por qué se elige un tratamiento y no otro.

Este enfoque conservador y ético es muy apreciado por quienes buscan un odontólogo de confianza para seguir en el tiempo. Hay testimonios de pacientes que se atienden con el mismo profesional desde hace más de una década y que, a partir de su experiencia, han recomendado el consultorio a familiares, amigos y compañeros de trabajo. Esa continuidad permite darle seguimiento a los tratamientos, planificar futuros procedimientos y detectar a tiempo cualquier cambio en la boca.

En cuanto al tipo de prestaciones, Park Dental se presenta en distintos directorios como un consultorio de odontología integral con énfasis en ortodoncia y en tratamientos relacionados con la conservación y el cuidado funcional de las piezas. En plataformas especializadas se lo menciona también vinculado a áreas como implantes dentales y periodoncia, lo que indica que el consultorio está preparado para resolver tanto problemas habituales como necesidades más complejas, desde una simple limpieza hasta rehabilitaciones más avanzadas.

Quienes han pasado por el sillón destacan la prolijidad en procedimientos como la limpieza profesional, el tratamiento de caries y las restauraciones estéticas. Se menciona que el profesional muestra el antes y el después, explica qué está haciendo y por qué elige determinados materiales, y responde preguntas con claridad. En un entorno donde abundan los términos técnicos, esa capacidad de traducirlos al lenguaje cotidiano genera confianza y ayuda a que el paciente participe de las decisiones sobre su propia salud bucal.

Otro punto muy valorado es el respeto por los turnos. Algunas opiniones subrayan que se cumplen los horarios pactados y que el profesional organiza su agenda de modo de evitar esperas excesivas en la sala. Para quienes tienen obligaciones laborales o familiares, esta organización marca una diferencia importante al momento de elegir un consultorio, ya que permite incorporar la visita al dentista a la rutina sin que represente una pérdida de tiempo difícil de justificar.

En cuanto al trato, pacientes con pánico o miedo a los odontólogos comentan que se sintieron escuchados y acompañados, con explicaciones paso a paso y pausas cuando fue necesario. Esa combinación de paciencia y firmeza profesional resulta especialmente útil para quienes necesitan tratamientos largos o intervenciones que les generan ansiedad. El entorno del consultorio, según reflejan las fotos y comentarios en línea, se ve ordenado, limpio y con equipamiento acorde a las exigencias actuales de la odontología moderna.

Un aspecto positivo adicional es la continuidad en la atención: varias personas relatan que toda su familia se atiende en Park Dental desde hace años. Esto sugiere que el consultorio tiene experiencia en tratar a pacientes de diferentes edades, desde jóvenes que requieren controles periódicos o tratamiento de caries, hasta adultos que necesitan soluciones más complejas como coronas, puentes o eventualmente implantes dentales. Contar con un mismo profesional que conoce la historia clínica facilita la prevención y el seguimiento a largo plazo.

Ahora bien, también es importante mencionar los puntos que pueden considerarse menos favorables o, al menos, aspectos que el futuro paciente debería tener en cuenta. Por un lado, el consultorio aparece en varios directorios pero la información externa no siempre está completa o actualizada. Algunos sitios solo mencionan la dirección y una breve descripción genérica sin detallar de forma clara todas las especialidades, lo que obliga a que la persona se comunique o pida más datos para saber si su necesidad específica (por ejemplo, ortodoncia estética, carillas o blanqueamiento dental) se realiza allí.

Además, a diferencia de grandes clínicas con múltiples profesionales, en Park Dental la atención parece concentrarse principalmente en un único odontólogo de referencia. Esto tiene la ventaja de la continuidad y del trato personalizado, pero también implica que, si se busca un equipo amplio con diversas especialidades simultáneas o guardias extendidas, quizás este consultorio no sea la opción ideal. Para tratamientos que requieren varias miradas en paralelo o una logística más compleja, algunas personas pueden preferir centros odontológicos de mayor tamaño.

Otro punto a considerar es que el consultorio no se promociona con tanta intensidad en redes sociales o páginas web propias, sino que su presencia en internet se apoya más en directorios y en el boca a boca reflejado en reseñas. Aunque esto no afecta la calidad del trabajo odontológico, puede hacer que quienes esperan una comunicación más digital, con agendas online o información muy detallada sobre cada tratamiento, sientan que la propuesta es más tradicional. Para algunos pacientes esto no será un problema; para otros, la falta de una plataforma completa puede verse como una limitación.

Respecto de los costos, no hay información oficial clara y detallada en los portales consultados, algo habitual en el rubro. Como en muchos consultorios de odontología privada, los valores suelen ajustarse al tipo de tratamiento, a los materiales utilizados y a las necesidades específicas de cada caso. Esto hace recomendable que el paciente consulte previamente sobre presupuestos, posibles alternativas y formas de pago, especialmente en procedimientos de mayor complejidad como implantes, prótesis o tratamientos de ortodoncia prolongados.

En un contexto donde abundan las opciones de dentistas en la zona, Park Dental se diferencia por la combinación de buen trato, explicaciones claras y una fuerte orientación a cuidar las piezas naturales del paciente. Las reseñas resaltan la responsabilidad, la puntualidad y la continuidad en los tratamientos, valores que suelen pesar tanto como la tecnología disponible al momento de elegir un consultorio. Para quienes priorizan un vínculo estable con su odontólogo, con seguimiento a lo largo de los años y una atención personalizada, esta propuesta puede resultar especialmente atractiva.

Como contraparte, quienes busquen una estructura más grande, con múltiples especialistas en un mismo lugar o una presencia digital muy desarrollada, quizá encuentren limitaciones en lo que Park Dental ofrece. Cada paciente deberá evaluar lo que considera más relevante: si prefiere una atención cercana, con un profesional que lo conozca y lo atienda siempre, o un centro más amplio con varios especialistas y una organización tipo clínica. En ese sentido, Park Dental se ubica claramente dentro del modelo de consultorio tradicional, con fuerte impronta personal del profesional que atiende.

En síntesis, la imagen que dejan los testimonios y la información disponible es la de un consultorio de odontología que apuesta por el trabajo responsable, la explicación detallada y el cuidado de la salud bucal a largo plazo. La experiencia de muchos pacientes de años indica que los tratamientos se mantienen en el tiempo, que se evitan intervenciones innecesarias y que el trato es cordial y respetuoso, incluso en casos de personas con miedo al dentista. Quienes valoran estos aspectos probablemente encuentren en Park Dental una alternativa confiable para sus necesidades odontológicas cotidianas y sus tratamientos más importantes.

Otros negocios que podrían interesarte

Ver Todos