Consultorio Odontologico Hernandez
Consultorio Odontológico Hernández en Unquillo ofrece atención de dentista cercana, buena relación calidad-precio y trato...
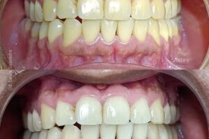
Dentistas y Odontología ubicados en Colón
Consultorio Odontológico Hernández en Unquillo ofrece atención de dentista cercana, buena relación calidad-precio y trato...
Consultorio Odontológico Elena Oliveras en Córdoba ofrece atención dental cercana y personalizada, con dentista de...
Consultorio Odontológico ASCAINO/GIL en Jesús María ofrece atención personalizada con dentista de confianza y enfoque...
La clínica odontológica de la Dra. Claudia Cuello en Salsipuedes ofrece atención personalizada en odontología...
Dentistas en Colonia Tirolesa: Od. Laura Saavedra destaca en ortodoncia rápida, atención personalizada y resultados...
Caroya Dental es una clínica de dentistas en Colonia Caroya que ofrece odontología integral, implantes...
La clínica odontológica Dra. Valentina en Jesús María ofrece atención moderna en estética, limpieza e...
QR Consultorio Odontológico en Jesús María ofrece atención integral con dentistas cercanos y enfoque preventivo,...
Odontología Schiavoni Agustina en Río Ceballos ofrece atención de odontología general con trato cercano, ideal...
¿Buscas implantes dentales en Jesus María, Córdoba? Consultorio Odontológico Implantes ofrece tratamientos duraderos con dentistas...
Villa Dent en Córdoba destaca por su atención humana, tecnología dental moderna y profesionales dedicadas....
Consultorios Odontológicos Hablamos de Sonrisas en Jesús María ofrece atención dental profesional, humana y moderna...